Lucia Lee
Last update: 22/10/2025
Technology has always been at the heart of healthcare innovation - from digital records to robotic surgeries - and it’s evolving faster than ever. One disruptive technology redefining what’s possible in diagnostics, patient monitoring, and clinical efficiency is computer vision in healthcare. By enabling machines to see and interpret medical data, computer vision is helping healthcare professionals deliver faster, more accurate, and more personalized care. Keep reading to explore everything you need to know about this game-changing technology, from how it is applied to how you can benefit from it and what the future holds.
Computer vision is a branch of artificial intelligence (AI) that allows machines to see and understand the visual world in a way similar to humans. It uses machine learning and neural networks to analyze images and videos, recognize people or objects, find patterns, and detect certain actions or unusual events. In simple terms, computer vision connects what computers “see” with how they act, making them more capable of understanding and responding to their surroundings.
With the ability to see and interpret visual medical data, computer vision in healthcare is opening various opportunities for doctors to detect, treat, and monitor patients. Here are some of its key applications in modern medicine.
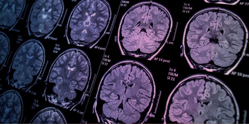
AI-powered medical imaging analysis
Computer vision has revolutionized medical imaging by automating the detection and interpretation of abnormalities in X-rays, CT scans, MRIs, and ultrasounds. Using this technology, radiologists can process vast amounts of data in seconds, highlighting subtle irregularities that may be missed by the human eye.
These AI-based diagnostics systems improve accuracy, speed up clinical workflows, and enable earlier intervention. Hospitals leveraging radiology automation also benefit from reduced manual workload and more consistent results, improving both efficiency and patient outcomes.

AI-powered medical imaging analysis
Computer vision for disease detection
One of the most transformative uses of computer vision in healthcare is disease detection. Using visual recognition and medical image segmentation and classification, AI models can detect early indicators of conditions such as cancer, Alzheimer’s, and cardiovascular disease.
For instance, in oncology, computer vision systems can identify malignant tumors or microcalcifications in mammography images with exceptional precision. This capability empowers clinicians with predictive analytics, allowing for earlier treatment planning and improved survival rates.
Deep learning in radiology and pathology
The combination of deep learning in radiology and pathology has opened new frontiers in medical image analysis. AI models trained on thousands of scans and tissue images can recognize patterns invisible to humans. This enables faster and more accurate pathology image analysis for cancer cells, infections, and rare diseases.
Pathologists can rely on automated systems to perform medical data processing at scale, reducing diagnostic turnaround times while minimizing human error. Such automated diagnosis helps ensure consistent results across healthcare networks and laboratories without stretching the workforce too thin.
AI-assisted surgery with computer vision
In the operating room, computer vision serves as a helpful surgical assistant, enhancing surgical precision and patient safety. These systems process real-time imaging data to guide surgeons during complex procedures, offering surgical guidance similar to a GPS for the human body.
Deep learning models help identify organs, blood vessels, and critical structures, allowing surgeons to make more accurate incisions and avoid complications. Robotic-assisted platforms using computer vision also enable minimally invasive surgeries with shorter recovery times and reduced post-operative risks.
Computer vision for patient monitoring
Beyond diagnosis and treatment, computer vision in healthcare plays a crucial role in patient monitoring. AI-enabled cameras can observe posture, facial expressions, and movement patterns to detect falls, distress, or changes in breathing and heart rate. These AI-based diagnostic systems provide real-time oversight of patient well-being, making them particularly valuable in intensive care units and eldercare, where continuous monitoring ensures timely medical response. Remote and contactless observation also improves patient privacy and safety, while helping healthcare staff manage multiple cases more efficiently.

Computer vision for patient monitoring
Protocol and hygiene inspection
Maintaining hygiene compliance in hospitals is vital, and computer vision in healthcare is making it easier than ever. For example, smart cameras equipped with visual recognition track whether staff wear protective gear and follow sanitation procedures. Computer vision systems can also automatically detect unclean surfaces or missed disinfection cycles, supporting a safer environment for both patients and healthcare workers. This proactive clinical decision support helps minimize infection risks and ensures that hygiene protocols are consistently upheld.
Personalized treatments for patients
With the growing use of computer vision in healthcare, healthcare providers can now design personalized treatments based on each patient’s unique physiological data. By analyzing medical imaging, genetic profiles, and past treatment outcomes, AI-based diagnostic systems generate tailored recommendations. This precision-driven approach increases treatment effectiveness, minimizes side effects, and enhances patient satisfaction, marking a major step toward truly individualized medicine.
Also read: Personalized Healthcare: Benefits, Solutions, and Trends
AI medication management
Medication errors can have serious consequences, but AI-powered computer vision systems help prevent them. Cameras and image analysis algorithms identify and verify medication labels, track dosages, and ensure timely administration. These systems improve coordination between pharmacists, nurses, and physicians, ensuring safety and compliance throughout the medication cycle. Automated medical data processing also reduces manual documentation, saving time and minimizing human error.
Patient identification and security
Computer vision in healthcare supports patient safety by ensuring accurate identification and preventing record mix-ups. Visual recognition and facial analysis systems verify patients during admissions and treatment, reducing the likelihood of medical identity errors. Integrated with electronic health records (EHRs), this technology enhances workflow efficiency and data security while ensuring that each patient receives the right care at the right time.
Hazard detection and crowd management
Hospitals are dynamic environments where safety and coordination are critical. Computer vision in healthcare enhances hazard detection by identifying potential threats like wet floors, obstructed pathways, or unauthorized access in real time. In large healthcare facilities, crowd management algorithms monitor traffic flow, prevent bottlenecks, and ensure emergency routes remain clear. This not only improves safety but also helps staff focus on patient care rather than security tasks.
Drug development and research
In pharmaceutical and biomedical research, computer vision in healthcare accelerates drug development by automating medical data processing and image analysis. AI models analyze microscopic images of cells, tissues, and molecular structures to assess how drugs interact with the body. This data-driven approach shortens research cycles, reduces costs, and enhances the reliability of experimental results. Researchers use predictive analytics to identify promising compounds faster and design more effective clinical trials.

Drug development and research
Computer vision is transforming the healthcare industry by bringing speed, accuracy, and intelligence to medical processes that once relied heavily on human interpretation. Let’s explore how healthcare providers can benefit from computer vision, enhancing both clinical and operational outcomes.
Enhanced diagnostic accuracy
One of the most significant benefits of computer vision in healthcare lies in its ability to improve diagnostic precision. Through diagnostic assistance, AI-powered imaging tools can detect subtle abnormalities in X-rays, MRIs, and CT scans - often before they become visible to the human eye. This early and accurate detection reduces misdiagnoses, ensures timely treatment, and leads to better patient recovery rates.
Faster disease detection
Automated image interpretation accelerates the identification of serious health conditions such as cancer, stroke, and retinal diseases. By shortening the time between scanning and diagnosis - such as retinal scan analysis - doctors can intervene earlier, increasing the likelihood of successful treatment and patient survival.
Also read: AI for Cancer Detection: Diagnose Faster and More Accurately
Improved patient monitoring
Effective patient monitoring is one of the key factors contributing to positive patient outcomes. Computer vision systems enable real-time observation of patients by tracking vital signs, movement patterns, and facial expressions. This continuous monitoring allows healthcare teams to identify critical changes instantly, preventing complications and reducing hospital readmissions.
Better surgical precision
AI-guided robotic systems powered by computer vision deliver unmatched precision in surgical procedures. Real-time 3D visualization and guidance help surgeons navigate complex anatomy with confidence, minimizing invasiveness, reducing human error, and promoting faster patient recovery with less scarring.

Better surgical precision
Streamlined hospital workflows
Beyond diagnostics, computer vision in healthcare enhances efficiency across healthcare operations. Automating tasks such as triage, bed management, and medical record analysis, computer vision systems reduce administrative bottlenecks and free up medical staff to focus more on patient care. They can even monitor hospital environments to ensure hygiene compliance and equipment safety.
Reduced healthcare costs
By automating repetitive and labor-intensive tasks - like measuring tumors, cataloging scans, or counting cells - computer vision in healthcare minimizes the need for manual labor and lowers the chances of costly mistakes. Early detection of diseases not only increases survival rates but also helps reduce the expense of late-stage treatments, ultimately easing financial pressure on healthcare systems.
Optimized treatment planning and recovery
Through advanced analysis of imaging, genetic, and historical patient data, computer vision in healthcare enables highly personalized treatment strategies. These tailored plans lead to faster recovery times, fewer side effects, and improved overall outcomes - essentially giving each patient a care approach designed just for them.
While computer vision in healthcare holds immense promise for transforming modern medicine, its adoption comes with a set of complex barriers that must be carefully addressed.
Data privacy and security concerns
Computer vision systems in healthcare handle vast amounts of sensitive medical information, from diagnostic images to personal patient records. This makes them prime targets for cyberattacks and data breaches. Protecting this information requires secure infrastructure, strong encryption, and strict adherence to privacy regulations like HIPAA and GDPR. Without these safeguards, patient trust - and the credibility of the technology - can quickly erode.
Also read: CCTV Privacy Concerns: The What, Why, and How
Lack of annotated and diverse medical data
High-performing computer vision models depend on large, well-labeled datasets, but medical imaging data is difficult to collect and annotate due to privacy restrictions, data silos, and the need for expert labeling by radiologists or pathologists. The complexity of medical images - where subtle variations can mean the difference between health and disease - adds another layer of difficulty. Limited and imbalanced datasets also increase the risk of bias, making models less reliable for rare or underrepresented conditions.

Lack of annotated and diverse medical data
Integration with existing healthcare systems
Many hospitals and clinics still rely on outdated IT systems that aren’t designed to communicate with modern AI tools. Integrating computer vision into these legacy infrastructures can disrupt workflows, require expensive upgrades, and demand specialized training for staff. Successful adoption depends on a gradual, collaborative approach that allows healthcare professionals to adapt while maintaining operational continuity.
Subtle variations and model generalization issues
Unlike everyday visual tasks, medical imaging often involves detecting minute differences in tissue or organ appearance. Variations in image quality, equipment type, and patient demographics make it difficult for computer vision models to generalize effectively across diverse healthcare settings. Without sufficient standardization and testing, algorithms risk making inconsistent or inaccurate predictions.
Ethical and regulatory challenges of AI in healthcare
Perhaps the most pressing issue lies in the ethical and legal landscape. Deep learning models often function as “black boxes,” offering limited transparency about how decisions are made. This lack of explainability raises questions of accountability - who is responsible if an AI system makes a wrong diagnosis? Additionally, algorithmic bias may unintentionally disadvantage certain groups, reinforcing healthcare inequities. Meeting regulatory standards, obtaining clinical approvals, and ensuring fair, explainable AI are all critical steps to earning public and professional trust.
As technology continues to evolve, the future of computer vision in healthcare is bright, ushering in a new era of precision, personalization, and proactive care. Let’s have a closer look at what the future holds for this technology.
Advanced medical imaging and diagnostics
Future developments in computer vision will enable more sophisticated analysis of medical images such as X-rays, MRIs, and CT scans. By identifying patterns and anomalies at a microscopic level, these systems will help detect diseases like cancer, fractures, and cardiovascular issues much earlier than current methods. This progress promises to improve diagnostic accuracy, support clinical decision-making, and ultimately save more lives through timely intervention.
Integration with augmented reality in surgery
The combination of computer vision and augmented reality (AR) is set to revolutionize surgical practice. AR-assisted systems will allow surgeons to visualize internal structures in real time through headsets or overlays, providing enhanced guidance during complex operations. This integration will boost surgical precision, reduce invasiveness, and accelerate recovery times, creating safer and more efficient procedures across specialties such as neurosurgery and orthopedics.
Personalized treatment and predictive medicine
As computer vision technology evolves, it will work hand in hand with AI to analyze each patient’s unique data - from genetic information and medical history to imaging results. This level of insight will empower healthcare providers to craft personalized treatment plans tailored to individual needs. By predicting how patients will respond to specific therapies, computer vision will play a pivotal role in advancing precision medicine and improving recovery outcomes.

Personalized treatment and predictive medicine
Enhanced disease prevention and real-time monitoring
The future of healthcare will also focus more on prevention rather than reaction. Computer vision, combined with wearable devices and smart monitoring systems, will continuously analyze patient data to identify early warning signs of illness or complications. Real-time tracking of vital signs, movement, and facial expressions will help clinicians intervene before conditions worsen, reducing hospital admissions and improving quality of life.
Greater accessibility and scalability
As computer vision systems become more affordable and adaptable, they will expand beyond major hospitals to smaller clinics and remote healthcare settings. This democratization of technology will make advanced diagnostic and monitoring tools accessible to a wider population, bridging healthcare gaps and enabling more equitable treatment worldwide.
Ethical and regulatory considerations
Looking ahead, maintaining ethical integrity and regulatory compliance will be crucial. The increasing reliance on AI-driven tools raises questions about transparency, accountability, and data protection. To sustain public trust, healthcare systems must ensure that algorithms are explainable, unbiased, and compliant with data privacy standards.
Computer vision in healthcare is making diagnoses faster, surgeries safer, and patient care more personalized than ever before. As the technology continues to evolve, its potential to enhance medical outcomes and operational efficiency will only grow.
At Sky Solution, we specialize in tailored computer vision solutions for healthcare, helping hospitals and medical innovators harness AI to deliver smarter, data-driven care. Ready to bring next-generation intelligence to your healthcare operations? Partner with Sky Solution today and shape the future of patient care.