Lucia Lee
Last update: 01/10/2025
Whether it’s helping factories catch product flaws or enabling retailers to create more personalized shopping journeys, computer vision is becoming a quiet game-changer across industries. Among its many capabilities, image segmentation stands out as a key task, allowing AI to divide an image into meaningful sections for precise analysis. In this post, we’ll learn in detail about image segmentation, from how it works to what it means for businesses.
Image segmentation is a fundamental computer vision technique that breaks down a digital image into distinct, meaningful regions - often by grouping pixels that share characteristics like color, texture, or intensity. Instead of treating an image as one large, complex set of data, segmentation organizes it into manageable segments that highlight objects or areas of interest.
This process is not just about simplifying images; it’s about making them more interpretable for machines. By clearly defining boundaries within an image, segmentation lays the groundwork for more advanced tasks such as object detection, tracking, and recognition. Its versatility makes it indispensable across industries, from fueling medical imaging for early diagnosis to enabling autonomous vehicle navigation.
Also read: Computer Vision Tasks: Everything You Need To Know
The practice of image partitioning can be approached in different ways depending on the level of detail and context required. Below are the three main types of image segmentation broken down:
Semantic segmentation
Semantic segmentation focuses on semantic labeling by assigning every pixel in an image to a class such as “road,” “tree,” or “building.” This method treats all pixels of the same class as identical, without distinguishing between individual objects.
For example, multiple cars in a street scene would all be merged into a single “car” segment. While limited in separating objects of the same type, semantic segmentation is invaluable in areas like medical imaging, agriculture, and environmental monitoring, where broad pixel classification is sufficient for analysis.

Semantic segmentation
Instance segmentation
Instance segmentation takes things a step further by separating individual objects even when they belong to the same category. It combines the strengths of object detection and boundary detection, using deep learning models such as convolutional neural networks to precisely outline each object’s shape.
For example, unlike semantic segmentation, instance segmentation can differentiate between two overlapping cars or multiple cats in the same photo. This added granularity is especially useful for applications like retail inventory tracking, autonomous vehicles, and manufacturing quality checks.

Instance segmentation
Panoptic segmentation
Panoptic segmentation combines the best of both worlds, integrating both semantic and instance approaches into a comprehensive framework. Every pixel receives a semantic labeling, while distinct objects are also assigned unique IDs to capture both “stuff” (uncountable backgrounds like sky or grass) and “things” (countable objects like people, animals, or cars).
That fusion provides a complete scene understanding, bridging the gap between high-level categorization and detailed boundary detection. Businesses can leverage panoptic segmentation in robotics navigation, urban planning, or immersive AR/VR systems, where accuracy and context must coexist.

Panoptic segmentation
Over the years, researchers have developed a variety of methods to divide images into meaningful regions, ranging from simple mathematical rules to advanced deep learning architectures. Each method has its own strengths and limitations, depending on the complexity of the image and the level of detail required. Below are the most widely used approaches in the field.
Thresholding techniques
One of the simplest yet effective approaches to image segmentation is the use of thresholding techniques. By analyzing the histogram of pixel intensities, the algorithm selects a cutoff value that separates foreground objects from the background. This results in a binary image where pixels are classified into two groups based on their intensity.
While global thresholding works well under consistent lighting, adaptive thresholding adjusts values locally, making it more suitable for images with uneven illumination. Thresholding often serves as a foundation for other operations like contour detection and early-stage mask generation.
Edge-based segmentation
Another widely used family of image segmentation techniques relies on edge detection. These methods identify abrupt changes in pixel intensity or color, marking them as object boundaries. The detected edges act as guides for feature extraction and boundary localization, making edge-based segmentation valuable for tasks where precise outlines are essential, such as medical imaging and industrial inspection.
Also read: Defect Detection with AI: The Secret to Smart Quality Control
Region-based segmentation
Instead of focusing on sharp transitions, region-based segmentation emphasizes the homogeneity of pixels. Methods such as region growing and region merging start by grouping pixels with similar color, intensity, or texture, then gradually expand or merge them until larger coherent regions form. This approach is especially useful when working with noisy or irregular images, as it adapts well to natural variations within objects. Applications range from organ delineation in healthcare to identifying land-use zones in satellite imagery.

Region-based segmentation
Clustering algorithms
Image segmentation can also be framed as a clustering problem, where pixels are grouped into segments based on similarity in features like brightness, color, or texture. Popular clustering algorithms include K-means, Gaussian mixture image segmentation models, and mean shift. By representing each pixel as a point in high-dimensional space, these methods assign pixels to clusters that correspond to distinct image regions. Unlike thresholding, clustering is not limited to intensity values, making it a flexible choice for complex images with multiple classes.
Watershed segmentation
Borrowing from the concept of topography, watershed algorithms treat grayscale images as elevation maps. High-intensity pixels form “mountains,” while low-intensity ones represent “valleys.” The algorithm simulates how water would flow across this surface, placing contour detection lines where watersheds meet. Although highly precise, this method can be sensitive to noise, often requiring preprocessing steps such as smoothing or mask generation to avoid over-segmentation.
Deep learning-based techniques
While traditional methods of image segmentation rely on handcrafted rules, modern deep learning techniques leverage convolutional neural networks to learn segmentation patterns directly from data. Architectures like U-Net, SegNet, and DeepLab use encoder-decoder structures to perform pixel-wise classification and refine object boundaries. More advanced models, such as Mask R-CNN, extend object detection frameworks with segmentation branches for mask generation. These networks excel at combining feature extraction with contextual information, enabling them to achieve state-of-the-art performance in complex tasks like autonomous driving, tumor analysis, and real-time video segmentation.
Image segmentation has moved beyond being a purely technical process - it now powers real-world innovations across industries. By breaking down complex images into meaningful regions, segmentation provides the foundation for more accurate analysis, automation, and decision-making. Let’s look at some of the most impactful use cases for image segmentation.
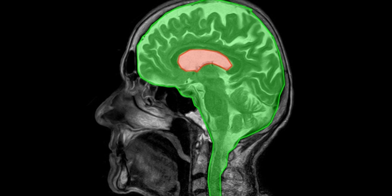
Medical imaging
In healthcare, image segmentation is indispensable for tasks like tumor detection, organ segmentation, and disease diagnosis. Radiologists use it to analyze MRI, CT scans, and X-rays with greater precision, while surgeons rely on it for planning procedures. Beyond diagnosis, segmentation supports biomedical research by enabling cell counting, tissue analysis, and monitoring disease progression.

Medical imaging
Autonomous vehicles
Self-driving cars rely heavily on image segmentation to understand their surroundings. This computer vision technique allows vehicles to identify lanes, pedestrians, vehicles, and traffic signs, enabling safer navigation and real-time decision-making. By clearly defining the boundaries of objects, segmentation helps vehicles avoid collisions and adapt smoothly to dynamic road conditions.
Satellite image analysis
From monitoring deforestation to supporting urban planning, segmentation transforms raw satellite imagery into actionable insights. It can classify terrain types, track environmental changes, and detect objects like buildings or ships. This makes it an invaluable tool for environmental science, intelligence gathering, and disaster management.
Manufacturing and robotics
On the factory floor, image segmentation enhances both automation and quality control. Robots use it to locate and manipulate parts with precision, while automated systems employ it to identify product defects or sort items on assembly lines. This not only improves efficiency but also reduces errors in production.
Agriculture
Farmers and agritech companies leverage image segmentation for crop yield estimation, weed detection, and soil analysis. By distinguishing between healthy crops and invasive plants, segmentation enables more targeted interventions, reducing costs and promoting sustainable farming practices.
Smart cities and surveillance
For urban environments, image segmentation is key to traffic monitoring, crowd analysis, and security systems. In surveillance, it allows the accurate detection and tracking of people or vehicles, helping authorities act on anomalies in real time. In traffic management, it provides data for reducing congestion and improving road safety.
Creative industries and retail
Beyond industrial use, image segmentation also plays a role in art, design, gaming, and fashion. Designers use it to isolate and manipulate image regions for creative effects, while retailers apply it to product recognition and virtual try-on experiences. In gaming, segmentation enriches interaction by letting characters respond more intelligently to their environment.
Despite its growing role across industries, image segmentation still faces significant challenges that limit its accuracy, speed, and generalizability. These obstacles arise from both the complexity of real-world images and the limitations of current algorithms. Below are common challenges in image segmentation:
Complexity of object boundaries
Many objects have irregular, fuzzy, or overlapping edges, making it difficult to precisely delineate them. For example, in medical imaging, tumor boundaries often appear blurred, while in natural scenes, overlapping objects like leaves or crowds introduce ambiguity. Accurately capturing these fine details remains a persistent challenge for computer vision systems.
Variability in object appearance
Objects rarely look the same across conditions. Changes in lighting, angles, scale, texture, or background can dramatically alter their appearance. A car under bright daylight may be segmented successfully, but the same car under poor nighttime lighting may not. This variability reduces image segmentation robustness across diverse environments.

Variability in object appearance
Class imbalance
In many datasets, dominant categories such as “background” overwhelm smaller but critical classes, like pedestrians in autonomous driving. This imbalance can skew model training, leading to poor performance on rare yet vital classes. Balancing accuracy across all object categories is an ongoing challenge.
Computational efficiency
High-resolution images and real-time applications require fast processing, but advanced image segmentation models can be computationally expensive. For example, autonomous vehicles must perform real-time road, obstacle, and pedestrian segmentation within milliseconds to ensure safety. Striking the right balance between accuracy and efficiency is crucial.
Generalization across domains
Segmentation models trained on one dataset often fail when applied to new environments. A model developed with synthetic data may not adapt well to real-world medical scans, or a system trained on urban roads may underperform in rural settings. Ensuring domain adaptability remains an unsolved problem.
Parameter selection and evaluation
Choosing the right image segmentation parameters - such as thresholds, region sizes, or similarity measures - can greatly impact results. Unfortunately, these choices are often dataset-specific and require manual tuning. Evaluating performance is also complex: metrics like IoU or Dice coefficient capture only part of the picture, while human perception of quality can differ from algorithmic scores.
Choice of method
From thresholding and clustering to deep learning-based approaches, each segmentation method has strengths and weaknesses. Selecting the right one depends on factors such as image quality, computational resources, and the specific application. However, there is no universal solution, and practitioners often need to experiment with multiple methods to achieve reliable results.
Image segmentation is no longer just a research concept - it’s a business enabler. From enhancing medical diagnostics to powering autonomous vehicles and streamlining retail, this technique is unlocking new levels of efficiency and insight. For businesses, the challenge lies not only in understanding the technology but in deploying it effectively for real-world impact.
With Sky Solution’s computer vision solutions, your business can harness advanced image segmentation tailored to your needs for real value. Let’s turn complex visual data into actionable intelligence. Contact us today for a free consultation!